At Central Valley Dentistry clinic, we offer dental implants in Gilbert to help restore your smile and improve your oral health. So if you’re missing one tooth or several, our implants are a great way to get a natural look and feel. Let’s talk about the dental implant procedure and how it can make a difference.
What are Dental Implants?
Dental implants in Gilbert are titanium-made artificial tooth roots. Our dentist, Dr. Behbahani, places these roots into your jawbone so that they can act as a foundation for replacements (crowns, bridges, or dentures). You will find them durable, secure, and able to blend seamlessly with your natural teeth.
Benefits of Dental Implants
Dental implants in Phoenix offer many benefits:
- They restore your chewing and speaking.
- They help you prevent bone loss in your jaw.
- They look and feel just like natural teeth.
- They provide a long-term, stable solution for missing teeth.
- They keep your other teeth healthy and properly aligned.
What is the Average Cost of Dental Implants in Gilbert, AZ?
Here’s the cost of dental implants in Gilbert at Central Valley Dentistry:
 
															$12,900! $6,900!
Secure Hold, Natural Feel
- Complete Oral Evaluation
- Cone-Beam CT Scan
- 2 Implants per arch
- Implant Retained Overdenture
 
															$17,900! $11,900!
- IV Sedation
- All extraction
- 4 Implants per arch
- Bone Graft
- Same Day Teeth
Get Your Complementary Dental Implant Exam
(Valued at $495)
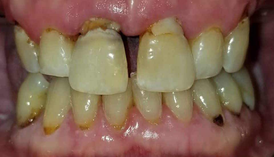
Before and After Dental Implants in Gilbert, AZ
 
				 
			 
				 
			How Dental Implants Work
Let’s see how dental implants replace missing teeth! First, Dr. Behbahani starts with placing a titanium post where your missing tooth used to be and into your jawbone. The bone then fuses with the post and provides a secure foundation. After healing, Dr. Behbahani places a custom-made crown on top to complete your new tooth. It looks, feels, and works like your natural teeth.
Candidates for Dental Implants in Gilbert, AZ
If you’re unsure, a consultation with our team can help to see if implants are right for you. But in general, you are good to go if:
- You are in good overall health.
- You do not have active gum disease.
- You are committed to following proper oral hygiene.
- You want a solution for missing teeth that works long term.
- You’re willing to undergo a few visits for the procedure.
- You don’t smoke or can quit smoking during the healing process.
- You have realistic expectations for the implant procedure and results.
Top-Rated Tooth Implant Specialists Near You in Gilbert, Arizona
Central Valley Dentistry is proud to have top-rated specialists who focus on providing the best care for dental implants in Gilbert. Our skilled team ensures you get customized, high-quality dental treatment for a restored smile. Schedule a consultation with us today and let’s work together to bring back your smile!
 
															FAQs About Our Dental Implants
How much does it cost to put in a dental implant?
The cost of dental implants in Gilbert can vary, but it’s a long-term investment in your oral health and appearance. Contact us and get an exact quote.
Why are dental implants the best option?
They are the best because they provide a permanent solution, feel like natural teeth, and help protect your jawbone.
Are there any restrictions for dental implants?
After your procedure, you may need to avoid hard or sticky foods for a while. Your dentist will give you specific instructions.
What's the average cost of dental implants in Gilbert?
The dental implants price varies depending on factors like the type of implant and your overall oral health. A consultation will give you a better idea of costs.
Can you eat and chew anything after dental implants?
After getting implants, you may need to stick to soft foods during recovery. Once fully healed, you can eat normally, just like with natural teeth.
What is the recovery process after dental implant surgery in Phoenix?
The recovery process involves some swelling and discomfort for a few days. Full healing can take a few months, but most people can resume their normal activities quickly.
How do I care for my dental implants?
Just like natural teeth, you should brush and floss your implants daily and visit your dentist regularly to keep them healthy.
Can dental implants replace multiple missing teeth?
Yes, dental implants can replace one or multiple missing teeth. They can even be used to support bridges or dentures.
Are there age restrictions for dental implants in Phoenix?
There are no specific age restrictions, but candidates should have healthy gums and sufficient bone in their jaw.
What should I expect during the dental implant restoration?
During the restoration, we’ll place a custom-made crown or other restoration onto the implant post to restore the function and look of your tooth.